Consultation
The Comparative Eye Pathology and Oncology Laboratory seeks to elucidate mechanisms of diseases of the eye and visual system with comparative pathology approaches. To assist other investigators in their work, Dr. Peterson, in conjunction with the Comparative Pathology & Genomics Shared Resource can provide consultation on the full range of tissue-based outcomes including tissue collection, fixation, processing, embedding, and sectioning (OCT or FFPE); histopathologic evaluation/scoring, selection/optimization of antibodies for IHC/IF, ISH evaluation/scoring, and ROI selection for spatial omics approaches. Clinicians seeking assistance with either clinical diagnostic or retrospective study needs are encouraged to contact the Comparative Eye Pathology and Oncology Laboratory for consultation.

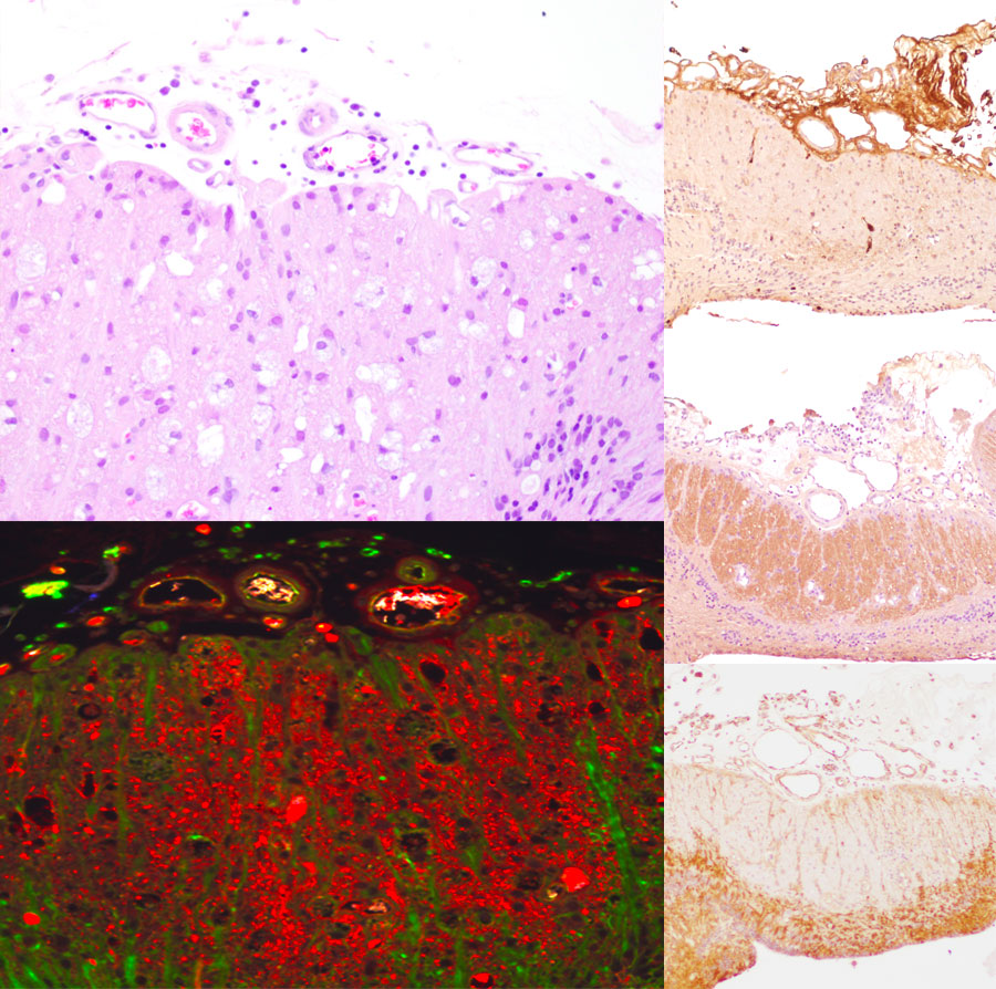
transition (EMT) in a rabbit retina.
Image: Histologic and immunohistochemical assessments of epithelial-mesenchymal transition (EMT) in a rabbit retina.
Students
For veterinary students wishing to gain exposure to ocular biology, pathology, or oncology research experiences, Dr. Peterson participates in both selective opportunities and the Cummings School/MIT Summer Research Program. Externships for veterinary trainees will also be considered on an individual basis.
